Записаться
Eдиный контактный центр
+7 (495) 012-50-00
Фрунзенская
Фрунзенская наб., 44, стр.2
Обратная связь с руководством
Все клиники
Поиск
Услуги
Цены
Спецпредложения
Врачи
Рассрочка
Сплинт-терапия
Мероприятия
Услуги
Цены
Спецпредложения
Врачи
Рассрочка
Сплинт-терапия
Мероприятия
Все клиники
Обратная связь с руководством
+7 (495) 012-50-00
Стоматология на Фрунзенской
Записаться
Главная
/
Врачи
/
Алиев Орхан Эльманович
Алиев Орхан Эльманович
врачебный стаж с
2021 года
более
2 350 пациентов
Врач стоматолог-терапевт, эндодонтист, микроскопист
записаться на бесплатную консультацию
Специализация:
восстановление зубной эмали и формы зубов
реставрацию зубов
реставрация молочных зубов
эстетическую реставрацию
терапевтическая стоматология
лечении кист зубов
Образование
2021г. — Московский государственный медико-стоматологический университет имени А. И. Евдокимова (Стоматология, базовое образование)
Дополнительное обучение
2021г. — Ceramic Life
2024г. — Прямые реставрации жевательной группы зубов
2024г. — Эффективная медицинская консультацияд
2024г. — Виниры и накладки: от планирования до фиксации
2025г. — Вертикальное препарирование
"
Опыт, качество, комфорт и внимание к деталям - основа нашей работы
"
Алиев Орхан Эльманович
Работы врача
Лечение кариеса и его осложнений
Лечение глубокого кариеса переднего зуба
р.
р.
Лечение кариеса и его осложнений
Лечение поверхностного кариеса жевательного зуба
р.
р.
Лечение кариеса и его осложнений
Лечение пришеечного кариеса нижних фронтальных зубов
р.
р.
Реставрация зубов
Композитная реставрация фронтальных зубов
р.
р.
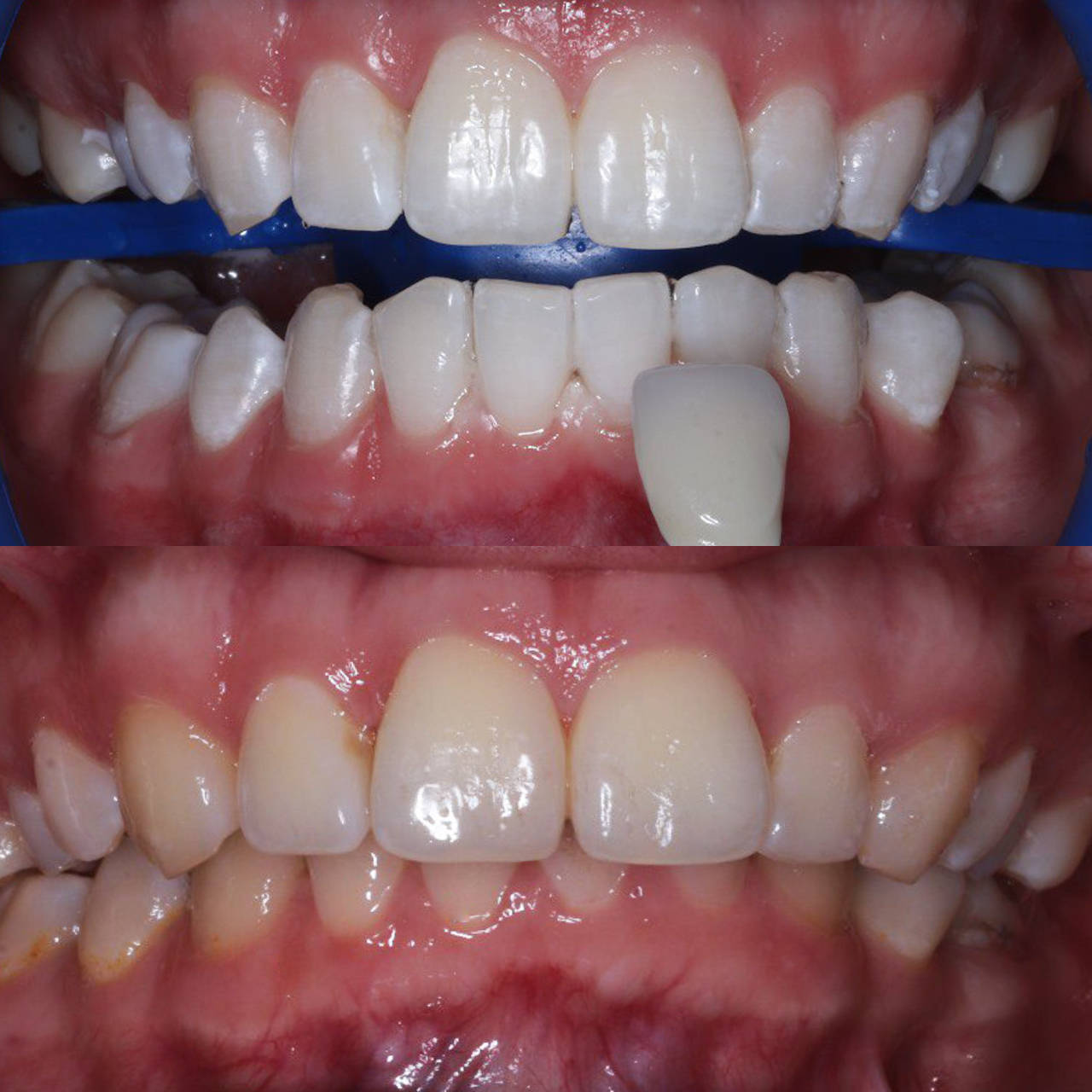
Лечение кариеса и его осложнений
Лечение глубокого кариеса нижнего переднего зуба
р.
р.
Работа 1
До и после
р.
р.
Работа 2
До и после
р.
р.
Работа 3
До и после
р.
р.
Работа 4
До и после
р.
р.
Работа 5
До и после
р.
р.
Работа 6
До и после
р.
р.
Работа 7
До и после
р.
р.
Лечение кариеса и его осложнений
р.
р.
Лечение глубокого кариеса переднего зуба
Лечение кариеса и его осложнений
р.
р.
Лечение поверхностного кариеса жевательного зуба
Лечение кариеса и его осложнений
р.
р.
Лечение пришеечного кариеса нижних фронтальных зубов
Реставрация зубов
р.
р.
Композитная реставрация фронтальных зубов
Лечение кариеса и его осложнений
р.
р.
Лечение глубокого кариеса нижнего переднего зуба
Работа 1
р.
р.
До и после
Работа 2
р.
р.
До и после
Работа 3
р.
р.
До и после
Работа 4
р.
р.
До и после
Работа 5
р.
р.
До и после
Работа 6
р.
р.
До и после
Работа 7
р.
р.
До и после
Видео с врачом
Дипломы и сертификаты